Updated 6/24/2022
Here are a few systemic yeast infection pictures and this should give you a very good idea just how serious yeast infections can become. This is not meant to scare you, it's just to inform you as to what candida and other fungi are capable of doing if allowed to get out of control.


This is an x-ray of a patient with a past acute fungal infection of the lungs. Notice the white lesions in the lungs caused by the fungi.
They look like little white dots against the black of the interior of the lung.
These are calcified lesions or scar tissue caused by the fungi.

This yeast infection picture of the lungs is not quite as clear as the one above as far as being able to locate the damage.
But if you look close you can see the tiny white spots.
These kinds of fungal infections will demonstrate influenza type symptoms in most cases.

This is a yeast infection picture of the lung also.
This person has sarcoidosis and is infected with Aspergillis fungi. Many adults and children with cystic fibrosis may have this condition also.
Aspergillis niger is most often the fungus involved in this condition because it is everywhere and the spores very easily become airborne. Aspergillis is responsible for most seasonal allergies and sinus infections.
It can be seen in this picture in the bottom center of the picture and looks like a ball with a halo around it.

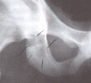
This is a picture of a persons hip. It is marked so you can see what appears to be a disappearance of bone density, which it is.
This kind of yeast infection is actually quite frequent and occurs in 10-42% of people that have been immuno-compromised by diabetes, renal failure, and immuno-suppressive therapies such as corticosteroids.

In this yeast picture of the spine, you can see where it is marked like the above two pictures. You can see the resulting lose of bone density as well.

This is a picture of a person with ostyomyelitis and tenosynovitis caused by Candida albicans.
The next picture belongs to this same person. The scans were done by different medical means.

This fungal infection picture of the feet belongs with the one above.
The dark area on the left foot on the big toe corresponds with the x-ray.
You can plainly see the darkened areas of the right and left foot where the fungus is present in the skin and bone of this persons feet.

This picture of a mechanical heart valve is almost completely over grown with fungi.
It is infected with a fungus called Pseudallescheria boydii confirming that other fungi can affect the body in the blood stream.
"New England Journal of Medicine"

This is another fungal infection picture of a mechanical heart valve infested by Candida parapsilosis.
Note how it is completely blocked.
"New England Deaconess Hospital, Boston MA"
These are extreme cases indeed but yeast, Candida, and fungi have the capability to cause serious problems in the body if allowed to get out of control.
Vaginal yeast infection pictures that show a white cottage cheesy discharge are caused by hyphael producing yeasts such as Candida albicans. Vaginal yeast infections with no white discharge are caused by spore forming yeasts such as Candida glabrata.
Medline Plus has a very good vaginal yeast infection picture showing the growth of Candida albicans on the vaginal walls.
Do you have any questions about these yeast infection pictures or yeast infections in general? Ask your question here or contact us using the contact page of this website. It is also always a good idea to talk to your doctor as well.
Click below to see questions from other visitors to this page...
How do I convince the next doctor or nurse I see that my chronic yeast infection and skin condition seem to be related and check my skin for cutaneous yeast? 




I'm almost positive I have had a yeast infection and have tried and failed at treating it for at least 6 months. In addition to a rash that comes and goes …
Home Privacy Policy Copyright Policy Disclosure Policy Doctors Store
Copyright © 2003 - 2025. All Rights Reserved under USC Title 17. Do not copy
content from the pages of this website without our expressed written consent.
To do so is Plagiarism, Not Fair Use, is Illegal, and a violation of the
The Digital Millennium Copyright Act of 1998.